
Χρήσιμες πληροφορίες
Τι είναι ορθοδοντική και ποιος την ασκεί;
Η ορθοδοντική είναι η ειδικότητα της οδοντιατρικής, η οποία ασχολείται με τη διευθέτηση των δοντιών στα οδοντικά τόξα και την καθοδήγηση των γνάθων σε αρμονικές θέσεις μεταξύ τους, με στόχο την αποκατάσταση της καλής λειτουργίας τού στόματος και της αισθητικής του προσώπου.
Πρόκειται για μία από τις αναγνωρισμένες ειδικότητες της οδοντιατρικής συγκρινόμενη με όλες τις ανάλογες ειδικότητες της ιατρικής. Για την άσκηση της ορθοδοντικής απαιτούνται επιπλέον των γνώσεων του γενικού οδοντιάτρου, ειδικές γνώσεις, οι οποίες αποκτώνται μετά το πτυχίο της Οδοντιατρικής Σχολής σε ολοκληρωμένα μεταπτυχιακά προγράμματα πανεπιστημίων του εσωτερικού ή του εξωτερικού.
Ο τίτλος του ορθοδοντικού χορηγείται από το Υπουργείο Υγείας και Πρόνοιας μετά από εξετάσεις. Έτσι, δικαιούνται να φέρουν τον τίτλο του ορθοδοντικού, μόνο όσοι έχουν τη σχετική βεβαίωση του Υπουργείου.
Ο ορθοδοντικός, δηλαδή ο ειδικευμένος πλέον οδοντίατρος, ασχολείται αποκλειστικά και μόνο με το αντικείμενο της ορθοδοντικής.
Δεδομένου, ότι η ορθοδοντική ειδικότητα έχει πρόσφατα αναγνωριστεί στην Ελλάδα και ο αριθμός των ειδικευμένων ορθοδοντικών είναι περιορισμένος, συνιστάται στους ενδιαφερομένους για ορθοδοντική θεραπεία να ελέγχουν προηγουμένως, μέσω των κατά τόπους Οδοντιατρικών Συλλόγων, εάν ο οδοντίατρος, στον όποιον έχουν απευθυνθεί είναι ειδικός ορθοδοντικός.
Πότε είναι απαραίτητη η ορθοδοντική θεραπεία;
Η ορθοδοντική θεραπεία θεωρείται απαραίτητη σε περιπτώσεις με οδοντικές, σκελετικές και λειτουργικές ανωμαλίες του στόματος. Ο ορθοδοντικός καλείται να επιτύχει κατά περίπτωση έναν ή περισσότερους από τους παρακάτω στόχους:
- Σωστή λειτουργία του στόματος (μάσηση, ομιλία)
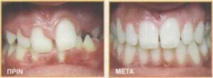
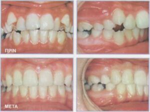
- Διευκόλυνση της στοματικής υγιεινής, με συνέπεια λιγότερα μελλοντικά προβλήματα στα δόντια και ούλα και μεγαλύτερη διάρκεια παραμονής τους στο στόμα. Είναι φανερή η διαφορά της κατάστασης των ούλων στις παρακάτω εικόνες πριν και μετά τη θεραπεία.

- Διευκόλυνση του γενικού οδοντιάτρου και των άλλων ειδικοτήτων καθώς και καλύτερη πρόγνωση κατά την εκτέλεση των οδοντιατρικών εργασιών (σφραγίσματα, γέφυρες, οδοντοστοιχίες, θεραπείες των ούλων και του περιοδοντίου) με τη διευθέτηση των δοντιών και τη λειτουργική αποκατάσταση του στόματος.
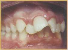
- Περιορισμός πιθανότητας καταγμάτων δοντιών ιδίως όταν αυτά προβάλλουν έξω από τα χείλη, κυρίως σε νεαρά άτομα, όπως συνέβη στο περιστατικό της εικόνας.

- Περιορισμός πιθανότητας εμφάνισης προβλημάτων στην κροταφογναθική άρθρωση, δηλαδή την περιοχή σύνδεσης της κάτω γνάθου με το κρανίο.
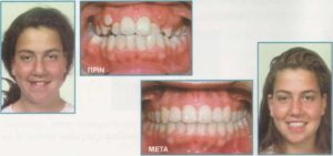
- Όμορφο χαμόγελο και πιο ευχάριστο πρόσωπο με συνέπεια την ενίσχυση της αυτοπεποίθησης του ατόμου, όπως φαίνεται στο παρακάτω περιστατικό.

Βασικά προβλήματα, που αντιμετωπίζει ο ορθοδοντικός
Βασικά προβλήματα, που αντιμετωπίζει ο ορθοδοντικός
Πρώτος τύπος
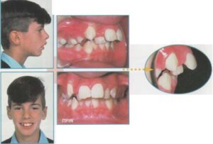
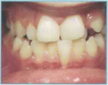
Υπάρχουν τρεις βασικοί τύποι προβλημάτων. Ο πρώτος τύπος είναι τα οδοντικά προβλήματα, όπου τα δόντια για διάφορες αιτίες δεν έχουν σωστές θέσεις στην οστική τους βάση, με αποτέλεσμα να εμφανίζονται συνωστισμένα, με διαστήματα ή στροφές. Συνήθως τα προβλήματα αυτά δεν είναι εμφανή, όταν το στόμα είναι κλειστό, όπως διακρίνεται στο παρακάτω περιστατικό.

Δεύτερος τύπος

Ο δεύτερος τύπος είναι τα σκελετικά προβλήματα, όπου οι γνάθοι δεν έχουν αυξηθεί αρμονικά μεταξύ τους, με επίπτωση στη λειτουργία του στόματος και στην αισθητική του προσώπου. Στόχος της ορθοδοντικής θεραπείας είναι η βελτίωση των θέσεων των δοντιών και η αρμονία του προσώπου.

Τρίτος τύπος

Τέλος, στον τρίτο τύπο ο ασθενής παρουσιάζει συνδυασμό οδοντικών και σκελετικών προβλημάτων, τα οποία έχουν επίπτωση όχι μόνο στην περιοχή του στόματος, αλλά και στην εμφάνιση του προσώπου.
Η βελτίωση με την βοήθεια της ορθοδοντικής θεραπείας είναι εμφανής.

Ποιες είναι οι αιτίες των ορθοδοντικών προβλημάτων;
Τα ορθοδοντικά προβλήματα είναι δυνατόν να οφείλονται σε κληρονομικούς ή σε περιβαλλοντικούς παράγοντες ή σε συνδυασμό των παραπάνω. Το μέγεθος δοντιών και γνάθων καθώς και οι σχέσεις μεταξύ τους είναι χαρακτηριστικά, που κληρονομούνται από τους γονείς προς τα παιδιά.
Ως κληρονομικός παράγων μπορεί να θεωρηθεί η περίπτωση κατά την οποία το παιδί έχει κληρονομήσει μεγάλα δόντια από τον πατέρα και μικρές γνάθους από την μητέρα, με αποτέλεσμα τα δόντια να μη χωράνε και να εμφανίζουν έντονο συνωστισμό.

Ως περιβαλλοντικοί παράγοντες χαρακτηρίζονται διάφορες μη φυσιολογικές συνήθειες, όπως η στοματική αναπνοή, ο θηλασμός του δακτύλου ή της γλώσσας, το δάγκωμα των νυχιών ή ξένων αντικειμένων (μολύβια), με αποτέλεσμα τα δόντια να μεταναστεύουν και να διαταράσσεται η αρμονική σχέση των γνάθων με άμεση επίπτωση στην αισθητική του προσώπου.

Άλλη κατάσταση, η οποία συχνά προκαλεί ορθοδοντικά προβλήματα είναι η πρόωρη απώλεια παιδικών δοντιών από τερηδόνα. Αυτό συμβαίνει, διότι, λόγω της μετακίνησης των παρακειμένων δοντιών χάνεται ο χώρος, που τα παιδικά δόντια πρέπει να διατηρήσουν μέχρι την ανατολή των μόνιμων δοντιών. Έτσι όταν έρθει ο καιρός να ανατείλουν τα μόνιμα, δεν υπάρχει αρκετός χώρος, με αποτέλεσμα να δημιουργηθεί συνωστισμός ή άλλα συναφή προβλήματα.

Πότε πρέπει να αρχίσει μια ορθοδοντική θεραπεία;
ΟΣΟ ΝΩΡΙΤΕΡΑ ΤΟΣΟ ΚΑΛΥΤΕΡΑ
Με οδηγό το ότι η πρόληψη των προβλημάτων είναι απαραίτητη σε κάθε ειδικότητα της ιατρικής και της οδοντιατρικής, θα συνιστούσαμε η πρώτη επίσκεψη στον ορθοδοντικό να γίνεται σε ηλικία 6-7 ετών. Μόνον έτσι θα προσδιορίσει ο ορθοδοντικός, εάν υπάρχει ή όχι πρόβλημα, τη σοβαρότητά του καθώς και τον κατάλληλο χρόνο έναρξης της θεραπείας. Γενικά η ορθοδοντική έχει χαρακτήρα προληπτικό, κατασταλτικό και επανορθωτικό.
Η προληπτική ορθοδοντική, η οποία εφαρμόζεται σε μικρές ηλικίες, αντιμετωπίζει προβλήματα, όπως πρόωρες απώλειες παιδικών δοντιών, παρατεταμένο θηλασμό του δακτύλου και προώθηση της γλώσσας.
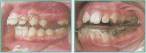
Η έγκαιρη τοποθέτηση μηχανισμών διατήρησης χώρου, στις περιπτώσεις πρόωρης απώλειας παιδικών δοντιών, προλαμβάνει ορισμένα από τα μελλοντικά προβλήματα συνωστισμού, όπως διακρίνεται στις φωτογραφίες που ακολουθούν.

Στις περιπτώσεις θηλασμού του δακτύλου και προώθησης της γλώσσας, είναι δυνατόν με σωστή καθοδήγηση γονέων και παιδιού να διακοπούν οι συνήθειες αυτές, χωρίς την ανάγκη τοποθέτησης ορθοδοντικών μηχανισμών.
Στο περιστατικό που ακολουθεί είναι εμφανής η βελτίωση της θέσεως των δοντιών μετά τη διακοπή της προώθησης της γλώσσας.

Η κατασταλτική ορθοδοντική αρχίζει συνήθως στην ηλικία των 7-9 ετών. Σκοπό έχει να αναχαιτίσει την εξέλιξη σκελετικών δυσαρμονιών των γνάθων, ασυμμετρίας του προσώπου ή και οδοντικών προβλημάτων τα οποία χωρίς έγκαιρη αντιμετώπιση θα επιδεινωθούν. Η αποκατάσταση της συμμετρίας στο πρόσωπο και στο στόμα μετά την κατασταλτική παρέμβαση είναι εμφανής στο περιστατικό που ακολουθεί.

Η επανορθωτική ορθοδοντική, τέλος, έχει σκοπό να θεραπεύσει τα ήδη υπάρχοντα προβλήματα σε παιδιά ή ενηλίκους και η έναρξή της αποφασίζεται από τον ορθοδοντικό, ανάλογα με το είδος του προβλήματος και το στάδιο της οδοντικής και σκελετικής ανάπτυξης του παιδιού.

Πλεονεκτήματα έγκαιρης έναρξης θεραπείας !!!
- Μεγαλύτερη πιθανότητα αποφυγής εξαγωγής μόνιμων δοντιών.
- Καλύτερος έλεγχος των σκελετικών προβλημάτων δεδομένου ότι πριν από την εφηβεία ο ορθοδοντικός μπορεί να ελέγξει και να επηρεάσει τη σκελετική αύξηση.
- Καλύτερη ανταπόκριση των ιστών στην θεραπεία.
- Μεγαλύτερος βαθμός προσαρμογής των μικρών ασθενών στους μηχανισμούς και καλύτερη συνεργασία.
- Πρακτικά ευκολότερη θεραπεία, λόγω λιγότερων υποχρεώσεων των παιδιών του Δημοτικού από αυτά του Γυμνασίου και Λυκείου.
- Τα μικρότερα παιδιά δεν ντρέπονται και γενικά δεν έχουν τις αναστολές των μεγαλύτερων.
- Όταν η θεραπεία αρχίζει νωρίς, στην εφηβεία έχει πια σχεδόν τελειώσει και οι έφηβοι έχουν αυξημένη αυτοπεποίθηση, λόγω της καλύτερης εμφάνισης του στόματος και του προσώπου γενικότερα.
- Οι ενήλικες ασθενείς, στους οποίους ο σκελετός έχει πλέον διαμορφωθεί, οδηγούνται συχνότερα σε θεραπείες με εξαγωγές μόνιμων δοντιών, ή όταν υπάρχουν σκελετικά προβλήματα απαιτείται ίσως και κάποια χειρουργική επέμβαση.

Τι είδους ορθοδοντικοί μηχανισμοί υπάρχουν;
Οι μηχανισμοί που χρησιμοποιούνται κατά την ορθοδοντική θεραπεία μπορεί να είναι κινητοί μηχανισμοί, όταν το παιδί μπορεί να τους βγάλει μόνο του από το στόμα ή ακίνητοι, όταν μένουν σταθεροί στα δόντια κατά την θεραπεία και αφαιρούνται μόνο από τον ορθοδοντικό. Μία ενόχληση μικρού βαθμού θεωρείται φυσιολογική και είναι αναμενόμενη κατά τα πρώτα 24ωρα μετά την τοποθέτηση των καινούργιων ορθοδοντικών μηχανισμών.
Μηχανισμοί διεύρυνσης:
Είναι μηχανισμοί που χρησιμοποιούνται για αλλαγή του σχήματος των οδοντικών τόξων. Περιλαμβάνουν κινητές πλάκες διεύρυνσης που πρέπει να είναι στο στόμα μέρα και νύχτα και ακίνητους μηχανισμούς διεύρυνσης που είναι διαρκώς προσκολλημένοι στα δόντια.

Λειτουργικά μηχανήματα:
Είναι κινητοί ή ακίνητοι μηχανισμοί που χρησιμοποιούνται για τη διόρθωση σκελετικών προβλημάτων σε περίπτωση που ο ορθοδοντικός επιδιώκει καθοδήγηση, διέγερση ή και αναστολή της αύξησης των γνάθων. Ενδείκνυνται σε μικρά παιδιά, αλλά κυρίως στην προεφηβική και εφηβική ηλικία. Τα κινητά λειτουργικά μηχανήματα χρησιμοποιούνται τη νύχτα και μερικές ώρες της ημέρας ενώ τα ακίνητα, επειδή είναι σταθερά προσαρμοσμένα στα δόντια, δεν μπορούν να αφαιρεθούν από το παιδί.

Το πλεονέκτημα των κινητών μηχανισμών έναντι των ακινήτων είναι ότι καθαρίζονται ευκολότερα και μπορεί να αφαιρεθούν για πιο άνετη μάσηση. Το γεγονός όμως ότι αφαιρούνται κατά βούληση, αποτελεί σε μη συνεργάσιμα παιδιά σοβαρό μειονέκτημα.
Έξω στοματικά μηχανήματα:
Αυτά στηρίζονται με ελαστικούς ιμάντες στον αυχένα ή στο κεφάλι και χρησιμοποιούνται, είτε σε ορθοδοντικά προβλήματα, εξασφαλίζοντας στα δόντια τον χώρο που λείπει, είτε σε σκελετικά προβλήματα επιτυγχάνοντας προτροπή ή αναστολή της αύξησης των γνάθων.

Ακίνητοι μηχανισμοί:
Ελαστικοί δακτύλιοι, ελαστικές αλυσίδες ή ειδικά ελατήρια, τα οποία τοποθετούνται σε συνδυασμό με τα τόξα, που συνδέουν τα μεταλλικά ή τα κεραμικά άγκιστρα, προκαλούν μετακίνηση ακρίβειας στα δόντια προς την επιθυμητή κατεύθυνση. Χρησιμοποιούνται σε οποιαδήποτε ηλικία και έχουν απόλυτη ένδειξη, οποτεδήποτε είναι απαραίτητη η μετακίνηση ακρίβειας ορισμένων ή όλων των δοντιών.

Προϋπόθεση για την χρήση τους είναι η τέλεια στοματική υγιεινή, η οποία, αν δεν υπάρχει μπορεί να απειλήσει την υγεία των δοντιών και των ούλων.

Συγκρατητικοί μηχανισμοί:
Μετά την αφαίρεση των κινητών μηχανισμών είναι απαραίτητη η διατήρηση του αποτελέσματος για διάστημα, που ορίζει κατά περίπτωση ο ορθοδοντικός. Αυτό γίνεται με κινητούς ή ακίνητους συγκρατητικούς μηχανισμούς. Η συνέπεια του ασθενούς στη φάση αυτή είναι καθοριστική, γιατί διασφαλίζει τη θεραπεία από πιθανές υποτροπές.
Βλαβερές συνήθειες
Διάφορες συνήθειες των παιδιών είναι συχνά οι αιτίες για ανωμαλίες της ανάπτυξης των δοντιών και του στόματος. Τέτοιες συνήθειες είναι η στοματική αναπνοή (συχνά συσχετιζόμενη με υπερμεγέθεις αμυγδαλές, αδενοειδείς εκβλαστήσεις, χρόνιο άσθμα, αλλεργικές καταστάσεις), το τρίξιμο των δοντιών, η πίεση της γλώσσας, το δάγκωμα του κάτω χείλους, των νυχιών ή ξένων αντικειμένων (μολύβια, γόμμες κλπ), η μονόπλευρη μάσηση, ο θηλασμός του δακτύλου κ.α.

Ο θηλασμός του δακτύλου στα μικρά παιδιά, σταματά συνήθως στα 2-3 χρόνια, οπότε κάποιες ελαφρές βλάβες αυτοδιορθώνονται, χωρίς άλλη παρέμβαση. Ένα παιδί που συνεχίζει μετά από αυτήν την ηλικία ή, ακόμη και στα σχολικά χρόνια να θηλάζει το δάκτυλό του, είναι δυνατόν να υποκρύπτει κάποια ανησυχία και ανασφάλεια, που μπορεί να οφείλεται σε ένα μικρότερο αδελφάκι, σε πολύωρη απουσία των γονέων από το σπίτι, ή τέλος σε αλλαγή σχολείου ή σπιτιού.
Σ’ αυτές τις περιπτώσεις η συμπαράσταση, η στοργή, ο φιλικός διάλογος είναι η καλύτερη βοήθεια για να αντιμετωπισθεί το πρόβλημα στην βάση του. Σε επίμονες καταστάσεις ο ορθοδοντικός μπορεί να υποστηρίξει την προσπάθεια των γονέων με τους ανάλογους μηχανισμούς, οπότε επιτυγχάνεται η σταθερή διακοπή της έξης. Το μάλωμα και οι τιμωρίες είναι η χειρότερη οδός. Αντίθετα, η επιβράβευση του παιδιού κατά την διάρκεια της προσπάθειάς του ή κάποιο συμβολικό δωράκι, όταν καταφέρει το στόχο του είναι η καλύτερη προσέγγιση.
Πρέπει να γίνουν εξαγωγές δοντιών στα πλαίσια της ορθοδοντικής θεραπείας;
Κατά την διάρκεια της θεραπείας είναι δυνατόν να χρειαστούν εξαγωγές κάποιων παιδικών δοντιών, όταν αυτά παραμένουν περισσότερο από τη φυσιολογική ηλικία στο στόμα. Οι εξαγωγές ή όχι μόνιμων δοντιών είναι μια σοβαρότατη απόφαση, που πρέπει να πάρει ο ορθοδοντικός, όταν διαπιστώνεται δυσαναλογία μεγέθους δοντιών και γνάθων ή όταν οι εξαγωγές επιβάλλονται από την σκελετική διάπλαση του προσώπου.
Ο χρόνος της εξαγωγής και το είδος των δοντιών, που θα εξαχθούν ορίζονται μόνον από τον ορθοδοντικό, ο οποίος φέρει και την ευθύνη της απόφασής του.
Ορθοδοντική ενηλίκων Συνεργασία ορθοδοντικού με άλλες ειδικότητες
Ασθενείς με ορθοδοντικά προβλήματα, που δεν αντιμετωπίστηκαν σε νεαρή ηλικία, μπορούν να κάνουν ορθοδοντική θεραπεία ως ενήλικοι. Συχνά όμως, απαιτείται η συνεργασία του ορθοδοντικού με άλλες ειδικότητες της οδοντιατρικής ή της ιατρικής (οδοντίατρος, περιοδοντολόγος, ενδοδοντιστής, προσθετολόγος, ωτορινολαρυγγολόγος, γναθοχειρουργός, πλαστικός χειρουργός κ.λπ.). Η συνεργασία αυτή δεν αφορά κατ’ ανάγκη μόνο εκτεταμένες ορθοδοντικές θεραπείες· είναι δυνατό η ορθοδοντική αγωγή να είναι περιορισμένης εκτάσεως και διάρκειας, με χαρακτήρα υποβοηθητικό και υποστηρικτικό των άλλων θεραπειών (περιοδοντική, προσθετική κ.α.). Επιτυγχάνεται έτσι το καλύτερο δυνατό λειτουργικό και αισθητικό αποτέλεσμα, καθώς ο ασθενής επωφελείται από τις επιμέρους θεραπευτικές δυνατότητες, που παρέχει ο συνδυασμός των διαφόρων ειδικοτήτων.

Συνδυασμός ορθοδοντικής και χειρουργικής θεραπείας


Συνδυασμός ορθοδοντικής, περιοδοντικής και προσθετικής θεραπείας

Συνδυασμός ορθοδοντικής, περιοδοντικής και προσθετικής θεραπείαςv
Ποιες είναι οι προϋποθέσεις για μια επιτυχημένη ορθοδοντική θεραπεία
Η επιτυχία της ορθοδοντικής θεραπείας προϋποθέτει έναν ειδικό ορθοδοντικό και ένα συνεπή ασθενή.
Ο ασθενής είναι συνεπής κατά την διάρκεια της θεραπείας, όταν ακολουθεί πιστά τις οδηγίες του ορθοδοντικού για την χρήση των ορθοδοντικών μηχανισμών, τηρεί τα ραντεβού του και φροντίζει να έχει άψογη στοματική υγιεινή. Αυτό σημαίνει ότι οφείλει να πλένει αποτελεσματικά τα δόντια του 3 φορές την ημέρα μετά τα βασικά γεύματα, αποφεύγοντας ενδιαμέσως γλυκά, καραμέλες και τσίχλες. Μόνον έτσι επιτυγχάνεται ο στόχος της θεραπείας στο συντομότερο δυνατό χρόνο.
Όσον αφορά την διάρκεια της θεραπείας, αυτή ποικίλλει από μερικούς μήνες μέχρι κάποια χρόνια, ανάλογα με τη φύση και τη βαρύτητα του προβλήματος.
Από την ποικιλία και πολυπλοκότητα τόσο των προβλημάτων, όσο και των χρησιμοποιούμενων μηχανισμών διαφαίνεται, ότι απαιτείται κατά την άσκηση της ορθοδοντικής βαθιά γνώση, μεγάλη εμπειρία και ικανότητα σε διαγνωστικό και θεραπευτικό επίπεδο. Μόνο με αυτές τις προϋποθέσεις είναι δυνατή η αναγνώριση της πραγματικής φύσης του ορθοδοντικού προβλήματος και η εφαρμογή των κατάλληλων μηχανισμών, μεμονωμένων ή σε συνδυασμό, για ένα σωστό και μόνιμο αποτέλεσμα. Εδώ ακριβώς έγκειται η γοητεία αλλά και οι κίνδυνοι της άσκησης της ορθοδοντικής ειδικότητας.